Przejdź do głównej treści
Strona główna / Blog / Ból pięty przyczyny i leczenie

Ból pięty przyczyny i leczenie

Za ból pięty może odpowiadać co najmniej kilka schorzeń. Jeżeli ból w pięcie jest najsilniejszy rano i zmniejsza się po rozchodzeniu to może być to zapalenie rozcięgna podeszwowego lub ostroga piętowa. Jeżeli ból pięty nasila się przy chodzeniu możesz cierpieć na zapalenie ścięgna Achillesa, którego przyczepy znajdują się właśnie w okolicy pięty.

Fala uderzeniowa skupiona w Krakowie
Logotyp Google
4.9
na podstawie 475 opinii.
Zobacz opinie

Niekiedy za dolegliwości bólowe w obrębie pięty odpowiadają takie jednostki chorobowe jak atrofia poduszki tłuszczowej stopy, czy też entezopatia zapalna. W przypadku bólu pięty powinno się wykonać zdjęcie RTG na którym będzie widać kość piętową. Może się okazać, że jest pęknięta lub złamana i wtedy będzie jasne skąd ten ból pięty. Wykonanie rentgena pozwoli też potwierdzić ewentualną ostrogę piętową lub ją wykluczyć. Jak widać, przyczyny bólu pięty mogą być różne i by podjąć właściwe leczenie trzeba wykonać badania obrazowe. Z reguły najpierw zdjęcie rentgenowskie, a jeżeli ono nic nie wykaże, to również badanie USG ortopedyczne. Ból pięty przyczyny czytaj dalej…

Ból pięty w trakcie chodzenia – ostroga piętowa

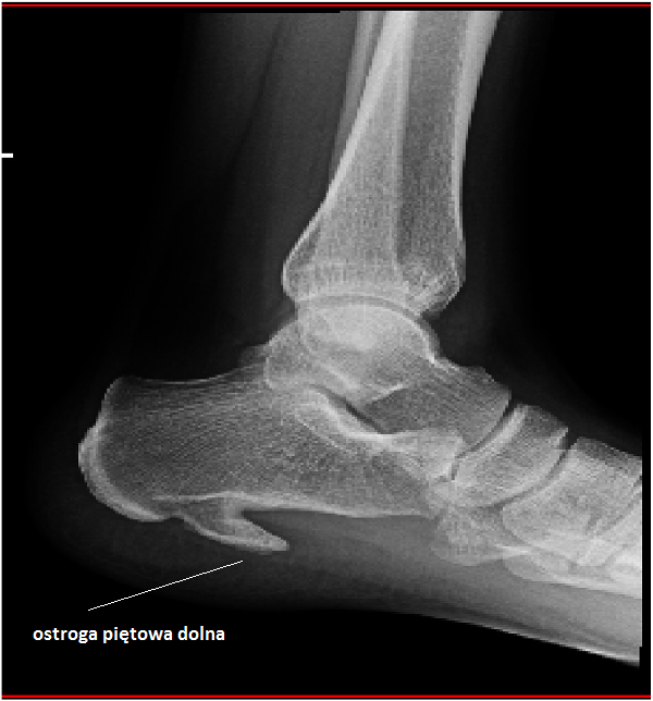
Dość często zdarza się, że ból pięty przy chodzeniu spowodowany jest ostrogą piętową. Jest to niewielkie zwapnienie na kości piętowej, które podczas poruszania się drażni okoliczne tkanki miękkie powodując silny ból i stan zapalny. Ból pięty w trakcie chodzenia w przypadku ostrogi piętowej pacjenci opisują jako kłujący i przeszywający. Ból pięty najsilniejszy jest rano, gdy stopy nie są jeszcze „rozchodzone”. W miarę kolejnych kroków ból maleje, ale nie znika zupełnie. Dopiero spoczynek i rozmasowanie stopy przynosi pacjentowi pewną ulgę. Leczenie ostrogi piętowej polega na noszeniu specjalnych wkładek ortopedycznych, które muszą być idealnie dopasowane do stóp pacjenta. Pięta jest w nich odciążona, by dać szansę chorym tkankom na wygojenie się. Druga kwestia to terapia falą uderzeniową, której skuteczność w leczeniu ostrogi piętowej sięga aż 80% falą rozproszoną (radialną) i nawet 90% w przypadku terapii falą skupioną! Niekiedy już po kilku zabiegach ból pięty zmniejsza się, tak samo jak stan zapalny. W zdecydowanej większości przypadków w leczeniu ostrogi piętowej zalecamy wykonanie pełnej serii, a więc 8 zabiegów falą skupioną. Zdarzają się jednak przypadki, rzadko bo rzadko, że tych zabiegów potrzeba wykonać więcej. Ból pięty przyczyny, poniżej kolejne schorzenia…

Ostroga piętowa

Ból pięty podczas chodzenia – zapalenie rozcięgna podeszwowego

Ból pięty podczas chodzenia może być też związany ze stanem zapalnym rozcięgna podeszwowego, do którego dochodzi na skutek mikro-urazów rozcięgna. Przyczyną tego schorzenia najczęściej jest chodzenie w źle dopasowanym obuwiu, z płaskimi, fabrycznymi wkładkami. One bardzo szkodzą stopom. Również nadwaga może mieć duży wpływ na rozwój omawianego schorzenia. Niekiedy też za zapalenie rozcięgna podeszwowego mogą odpowiadać takie deformacje stóp jak płaskostopie poprzeczne lub płaskostopie podłużne. Zapalenie rozcięgna podeszwowego leczy się podobnie jak ostrogę piętową. Niekiedy wystarczy pochodzić parę tygodni w indywidualnych wkładkach ortopedycznych, by rozcięgno się wygoiło. Do tego należy w miarę oszczędzać chorą stopę. Jeżeli pacjent chce szybko pozbyć się bólu i stanu zapalnego to najlepszym wyjściem jest terapia falą uderzeniową. Aby nie dopuścić do ponownego zapalenia rozcięgna podeszwowego warto chodzić w wygodnych wkładkach ortopedycznych na stałe. Takie wkładki również są nieodzowne, gdy pacjent cierpi na płaskostopie.

Problem dotyczy również Ciebie? Skontaktuj się już teraz!

Ból pięty przyczyny – zapalenie ścięgna Achillesa

Za ból pięty może odpowiadać też zapalnie ścięgna Achillesa. Jest to najdłuższe ścięgno w ludzkim organizmie. Rozpoczyna się w obrębie pięty i ciągnie aż do łydki. Stan zapalny ścięgna Achillesa można jednak dość łatwo rozpoznać. Wystarczy spróbować wspiąć się na palcach stóp. Jeżeli pojawi się ból w pięcie lub wyżej, nawet promieniujący do łydki to będzie to prawdopodobnie stan zapalny ścięgna Achillesa. Jeżeli wspięcie na palcach nie będzie bolało, to raczej nie Achilles odpowiada za dolegliwości bólowe w okolicy pięty. Leczenie ścięgna Achillesa opiera się przede wszystkim na przeprowadzeniu pełnej terapii falą uderzeniową. Jest to metoda, która daje najlepsze efekty w przypadku stanów zapalnych ścięgien. W przypadku przewlekłych kontuzji terapię falą uderzeniową uzupełnia się o iniekcje z osocza bogatopłytkowego. W sytuacji, gdy pacjent ma problemy z Achillesem zaleca się wykonanie specjalnych wkładek termoplastycznych, które odciążają chore ścięgno i ułatwiają regenerację tkanek miękkich. Ból pięty przyczyny, dalsza część artykułu…

Ból pięty przyczyny inne 

Ból pięty może powodować również schorzenie zwane piętą Haglunda. Wyróżnia się ono obrzękiem w okolicy guza piętowego. Pięta Haglunda to skutek przeważnie urazów pięty, intensywnego treningu biegowego, czy też chodzenia w zbyt ciasnych butach. Pacjenci borykających się z tym schorzeniem poza bólem skarżą się na niedogodności przy ubieraniu obuwia. Jest to oczywiste, ponieważ na pięcie występuje wyraźny obrzęk. Leczenie opiera się głównie na noszeniu wkładek ortopedycznych oraz terapii falą uderzeniową. Ważne, by nie nadwyrężać stopy podczas leczenia oraz do miesiąca po terapii. Ból pięty może być też związany z pęknięciem lub złamaniem kości piętowej. Dlatego pierwszym badaniem diagnostycznym w tym przypadku powinien być rentgen stopy. Na zdjęciu RTG będzie widać ewentualne przerwanie ciągłości tkanki kostnej. Metody leczenia w przypadku pęknięcia kości piętowej podejmuje ortopeda. To do niego, należy się zwrócić w pierwszej kolejności, gdy ból pięty utrzymuje się przez kilka dni.

Jak prawidłowo zdiagnozować przyczynę bólu pięty?

Ból pięty to objaw, nie diagnoza – kluczowe jest ustalenie, co właściwie go powoduje. Precyzyjna diagnostyka pozwala na szybkie i skuteczne leczenie, zamiast bezcelowego próbowania różnych metod.

Krok 1: Szczegółowy wywiad

Ortopeda lub fizjoterapeuta rozpoczyna od pytań:

  • Kiedy ból się pojawia? Rano po wstaniu = zapalenie rozcięgna. Podczas biegu = ścięgno Achillesa.
  • Gdzie dokładnie boli? Dół pięty = rozcięgno/ostroga. Tył pięty = Achilles. Bok pięty = entezopatia.
  • Jak długo trwa? Świeży (dni/tygodnie) = ostre zapalenie. Przewlekły (miesiące) = zmiany strukturalne.
  • Jaka jest intensywność bólu? Skala 1-10 pomaga ocenić zaawansowanie problemu.

Krok 2: Badanie palpacyjne

Terapeuta bada stopę ręcznie:

  • Uciska konkretne punkty – jeśli ból pojawia się przy ucisku dołu pięty = rozcięgno podeszwowe
  • Sprawdza grubość ścięgna Achillesa – pogrubienie = przewlekłe zapalenie
  • Bada zakres ruchu w stawie skokowym
  • Ocenia napięcie łydek i mięśni stopy

Krok 3: Badanie RTG (zdjęcie rentgenowskie)

To podstawowe badanie obrazowe przy bólu pięty. Na zdjęciu RTG widać:

  • Ostrogę piętową – zwapnienie na kości piętowej
  • Złamania lub pęknięcia kości piętowej
  • Zmiany zwyrodnieniowe w stawie podskokowym

RTG NIE POKAŻE: stanu zapalnego tkanek miękkich, uszkodzeń ścięgien, rozcięgna podeszwowego. Dlatego często potrzebne jest USG.

Krok 4: Badanie USG (ultrasonografia)

Badanie USG ortopedyczne to złoty standard w diagnostyce bólu pięty. Ultrasonograf pokazuje:

  • Stan rozcięgna podeszwowego – pogrubienie, mikronaderawania
  • Ścięgno Achillesa – zmiany zwyrodnieniowe, stan zapalny
  • Kaletki maziowe – płyn w kaletkach wskazuje na zapalenie
  • Tkanki miękkie wokół pięty

USG jest znacznie lepsze niż RTG w ocenie stanów zapalnych – widać dokładnie, gdzie leży problem.

Krok 5: Rezonans magnetyczny (MRI) – rzadko potrzebny

MRI wykonuje się tylko wtedy, gdy:

  • RTG i USG nie wyjaśniły przyczyny bólu
  • Podejrzewa się złożony uraz (np. częściowe zerwanie ścięgna)
  • Ból jest bardzo silny, a przyczyna nieznana

Rezonans jest drogi i czasochłonny – w większości przypadków wystarczy RTG + USG.


Typowe pomyłki diagnostyczne

Błąd 1: Zakładanie, że ostroga = ból Można mieć dużą ostrogę widoczną na RTG i nie odczuwać żadnego bólu. Ból powoduje stan zapalny tkanek, nie samo zwapnienie.

Błąd 2: Leczenie objawowe bez diagnozy Pacjent bierze leki przeciwbólowe, ból ustępuje na chwilę, wraca. Bez ustalenia przyczyny leczenie jest nieskuteczne.

Błąd 3: Ignorowanie biomechaniki stopy Jeśli przyczyną bólu jest nadmierna pronacja lub płaskostopie, leczenie samego zapalenia nie wystarczy – bez korekty biomechaniki problem wróci.

FAQ Najczęściej zadawane pytania o ból pięty

Dlaczego pięta boli najbardziej rano po wstaniu?

To klasyczny objaw zapalenia rozcięgna podeszwowego. Podczas snu rozcięgno kurczy się, rano przy pierwszych krokach gwałtownie się rozciąga – powstają mikronaderawania, pojawia się ostry ból. Po kilku minutach chodzenia rozcięgno się „rozciąga”, ból maleje. Jeśli masz ten objaw – to niemal na pewno problem z rozcięgnem podeszwowym.

Ile trwa leczenie bólu pięty?

Zależy od przyczyny. Ostre zapalenie rozcięgna – 4-6 tygodni z falą uderzeniową + wkładki. Przewlekła ostroga piętowa – 2-4 miesiące. Złamanie stresowe kości piętowej – 6-8 tygodni immobilizacji. Kluczowa jest wczesna diagnoza i konsekwentne leczenie.

Czy mogę chodzić z bólem pięty?

Można, ale nie należy. Chodzenie przez ból pogłębia uszkodzenia tkanek, wydłuża leczenie, może doprowadzić do przewlekłych zmian. Jeśli ból jest silny – chodź jak najmniej, używaj kul, noś obuwie z dobrą amortyzacją. Im bardziej odciążysz piętę, tym szybciej wygoi się zapalenie.

Czy zimno czy ciepło na ból pięty?

W ostrej fazie (pierwsze 2-3 dni) – zimno. Lód w ręczniku na 15 minut, 3-4 razy dziennie. Zimno zmniejsza stan zapalny i obrzęk. W fazie przewlekłej – ciepło może pomóc (ciepłe kąpiele stóp) – poprawia krążenie, rozluźnia mięśnie. Ale unikaj gorących okładów bezpośrednio na piętę.

Jakie buty nosić przy bólu pięty?

Odpowiednie obuwie to podstawa. Szukaj butów z:

  • Miękką, amortyzującą podeszwą w pięcie
  • Delikatnym podwyższeniem pięty (2-3 cm) – odciąża rozcięgno
  • Wsparciem łuku podłużnego stopy
  • Wystarczająco dużo miejsca na palce

Unikaj: płaskich baletów, klapków, japonek, sztywnych eleganckich butów. Najlepsze: sportowe buty do biegania z dobrą amortyzacją.

Czy wkładki ortopedyczne pomogą na każdy ból pięty?

Nie na każdy, ale na większość. Wkładki są bardzo skuteczne przy:

  • Zapaleniu rozcięgna podeszwowego
  • Ostrodze piętowej
  • Płaskostopiu (poprzecznym i podłużnym)
  • Nadmiernej pronacji lub supinacji

Nie pomogą przy złamaniu kości, urazie ścięgna Achillesa (chociaż mogą wspomóc), entezopatii zapalnej. W 70-80% przypadków bólu pięty wkładki są częścią skutecznej terapii.

Ile kosztuje leczenie bólu pięty w Krakowie?

Zależy od metody. Badanie RTG: 100-150 złotych. USG stopy: 200-250 złotych. Seria 6-8 zabiegów falą uderzeniową: 400-600 złotych. Wkładki ortopedyczne indywidualne: 350-600 złotych. Łącznie kompleksowe leczenie: 1000-1500 złotych. To wydatek, ale znacznie tańszy niż operacja i długa rehabilitacja.

Czy ból pięty może być objawem czegoś poważnego?

W większości przypadków – nie. Najczęstsze przyczyny (ostroga, zapalenie rozcięgna) to problemy ortopedyczne, nie zagrażające zdrowiu. Ale czasem ból pięty może sygnalizować:

  • Złamanie stresowe kości piętowej (u sportowców)
  • Zapalenie stawów (RZS, łuszczyca)
  • Dnę moczanową
  • Problemy neurologiczne (ucisk nerwu)

Jeśli ból jest bardzo silny, pojawił się nagle, towarzyszy mu obrzęk i zaczerwienienie – idź do lekarza.

Co jeśli fala uderzeniowa nie pomogła?

Fala uderzeniowa ma skuteczność 80-90%, ale nie u wszystkich działa. Jeśli po pełnej serii zabiegów (8-10) nie ma poprawy:

  • Sprawdź diagnozę – może przyczyna leży gdzie indziej?
  • Rozważ iniekcje z osocza bogatopłytkowego (PRP)
  • Laser wysokoenergetyczny, indukcyjna stymulacja elektromagnetyczna
  • W ostateczności – operacja (ale to rzadkość)

Pamiętaj: sam zabieg to za mało – musisz nosić wkładki, ćwiczyć, ograniczyć obciążenia.

Czy mogę biegać z bólem pięty?

Jeśli ból jest ostry – nie. Przerwij bieganie na 2-4 tygodnie, skup się na leczeniu. Bieganie przez ból to prosta droga do przewlekłego problemu. Gdy ból zelżeje, wracaj stopniowo – krótkie dystanse, wolne tempo, miękkie podłoże, dobre buty + wkładki. Jeśli po biegu ból się nasila – jeszcze za wcześnie.

Jak zapobiegać bólowi pięty?

Profilaktyka:

  • Noś odpowiednie obuwie z dobrą amortyzacją
  • Unikaj chodzenia boso po twardych podłożach (płytki, beton)
  • Rozciągaj stopy i łydki codziennie (5 minut)
  • Utrzymuj prawidłową masę ciała
  • Stopniowo zwiększaj aktywność fizyczną (zasada 10% tygodniowo)
  • Jeśli masz płaskostopie lub problemy z biomechaniką – rozważ profilaktyczne wkładki ortopedyczne

Czy masaż stóp pomoże na ból pięty?

Tak, ale nie sam. Masaż rozluźnia napięte mięśnie, poprawia krążenie, łagodzi ból. Szczególnie polecamy:

  • Masaż poprzeczny rozcięgna podeszwowego
  • Rolowanie podeszwy piłeczką tenisową (5 minut dziennie)
  • Masaż łydek (często napięte łydki przyczyniają się do bólu pięty)

Ale sam masaż nie wyleczy zapalenia – to wsparcie dla głównej terapii (fala uderzeniowa, wkładki).

Czy po wyleczeniu ból pięty może wrócić?

Może, jeśli nie wyeliminujesz przyczyn. Nawroty występują u około 30% pacjentów, którzy:

  • Nie noszą wkładek ortopedycznych po leczeniu
  • Wracają do złego obuwia
  • Znów nadmiernie obciążają stopy
  • Nie utrzymują prawidłowej masy ciała

Najlepsza ochrona przed nawrotem: wkładki ortopedyczne noszone codziennie. To inwestycja w długoterminowe zdrowie stóp.

Kiedy konieczna jest operacja przy bólu pięty?

Operacja to ostateczność, gdy leczenie zachowawcze przez 6-12 miesięcy nie pomogło. Zabieg polega na:

  • Usunięciu ostrogi piętowej
  • Przecięciu częściowym rozcięgna podeszwowego (uwolnienie napięcia)
  • Usunięciu zwyrodniałych tkanek

Około 90% przypadków da się wyleczyć bez operacji – konsekwentne leczenie falą uderzeniową + wkładki + fizjoterapia niemal zawsze pomaga.

Podobne
Przeczytaj także inne wpisy

14 października, 2025 r.

Indywidualne wkładki do butów roboczych Kraków – komfort i zdrowie w pracy

Obuwie ochronne projektowane jest przede wszystkim z myślą o bezpieczeństwie, nie o komforcie. Stalowe lub kompozytowe…
Więcej

6 sierpnia, 2025 r.

Fala uderzeniowa w leczeniu zwapnień ścięgien – skuteczna i nieinwazyjna terapia

Zwapnienia ścięgien, znane również jako wapniejące zapalenie ścięgien, to proces patologiczny polegający na odkładaniu się kryształów…
Więcej

22 lipca, 2025 r.

Usuwanie rozstępów falą uderzeniową – bezpieczna i skuteczna terapia w Krakowie

Rozstępy, medycznie nazywane strie, to liniowe blizny powstające w wyniku nadmiernego rozciągnięcia skóry. Charakteryzują się one…
Więcej
Mapa dojazdu
Jak dojechać do BodyMove
Adres naszego Centrum
ul. Kapelanka 13A (II piętro)
30-347 Kraków
Godziny otwarcia
Poniedziałek - Piątek: 08:00 - 20:00
Sobota: 08:00 - 14:00
Logotyp Google
4.9
na podstawie 475 opinii.
Zobacz opinie